医院新闻
精确诊断 精准治疗 医院心内科开展肾上腺静脉取血术(AVS)多学科合作治愈继发性高血压获成功
近日,医院心内科成功完成首例双侧肾上腺静脉取血术(AVS),检验科配合临床需求开展高血压激素检测新项目,为双侧肾上腺结节的高血压患者实现精准诊断,指导泌尿外科为患者进行优势侧肾上腺结节切除手术,成功治愈患者继发性高血压。同时,双侧肾上腺静脉采血技术在医院的成功开展实现了医院在该领域零的突破,也使得医院在高血压的诊疗方面实现精准化,为继发性高血压患者的彻底治愈带来了希望。
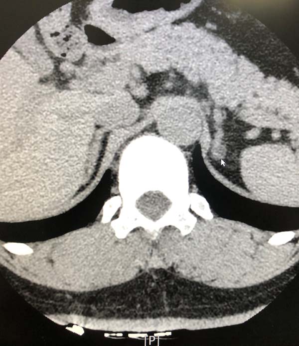
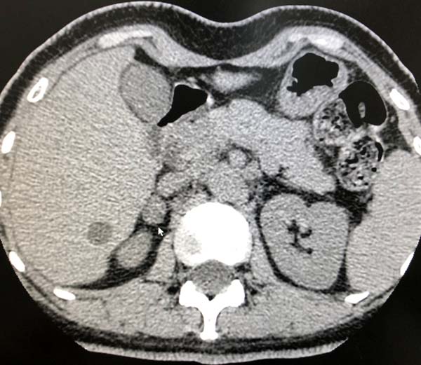
49岁的郭先生因“发现血压升高3个月,头晕1周”就诊于医院心内科门诊。高血压专科团队的主治医师高蕾接诊后考虑患者很可能是继发性高血压,就为患者调整了降压药物,将影响进行高血压激素检测结果的降压药物停用,换为无影响的特拉唑嗪。患者经过严格的药物洗脱2周后,收入心内科病房进行了规范的肾素醛固酮卧立位试验及卡托普利确证试验以及肾上腺的增强CT检查。结果发现患者双侧肾上腺结节,卧立位和确证试验结果都是阳性,原发性醛固酮增多症诊断成立,应进一步行双侧肾上腺静脉取血术(AVS),以确定优势侧,指导下一步手术治疗。

心内科的高血压专科团队立刻急性紧张的术前准备,制定围术期管理流程,梳理术中操作细节,准备手术耗材。8月11日上午,医院高血压专科团队在三楼导管室,成功施行了医院首例双侧肾上腺静脉采血术(AVS)。患者取平卧位在清醒状态下,经局麻穿刺右肘正中静脉,在X线透视指引下,选用特制导管成功在双侧肾上腺静脉、下腔静脉进行6部位取血送检。最终精准确定左侧肾上腺为分泌优势侧。术后患者经局部压迫止血后即可正常活动,与患者再次沟通,患者同意行左侧肾上腺切除手术。


心内科团队经与泌尿外科团队缜密沟通,9月6日,由泌尿外科主任医师王家菁带领团队,为患者成功进行腹腔镜左侧肾上腺切除术。术后患者停用了术前的3种降压药物,血压可维持在正常水平。术后随访至今,患者在未服用降压药物的情况下,血压稳定在正常水平,继发性高血压已经治愈。
经过第一例应用双侧肾上腺静脉取血术(AVS)确定双侧肾上腺结节的优势侧,联合泌尿外科手术成功治愈继发性高血压的病例,医院检验科团队积极响应心内科的临床需求,克服人员不足的困难,于9月份开始开展高血压激素检测新项目。医院多学科共同努力,心内科高血压专科团队再次成功完成2例肾上腺静脉取血术。其中一例再次联合泌尿外科团队进行精准肾上腺切除手术,继发性高血压得到治愈;另一例患者经鉴别无单侧优势,给予精准药物治疗,高血压得到有效控制。

高血压作为最常见的慢性病之一,被称为危害健康的“无声杀手”。多数人认为:控制高血压就必须吃降压药,无法治愈,须终身服药。但殊不知,除了原发性高血压之外,还有许多继发性的因素会引起血压升高。若将引起血压升高的疾病根治,其继发性高血压也就随之而愈。因此筛查继发性高血压的临床意义重大。在继发性高血压的病因中,原发性醛固酮增多症很常见,高血压是因为肾上腺的增生、结节或肿瘤造成肾上腺皮质分泌的醛固酮异常增多所致,典型的临床表现为高血压合并低血钾。这类患者部分可以通过切除优势侧肾上腺,使血压下降甚至完全恢复正常。而双侧肾上腺静脉采血术,目前被认为是原发性醛固酮增多症分型诊断和手术定位的“金标准”。此次医院心内科成功开展肾上腺静脉取血术(AVS),多学科联合对继发性高血压进行有效治疗,有望为广大继发性高血压患者带来福音。








京公网安备11010502033717号