科普文章
【垂医科普】血小板减少会是白血病吗?
最近连续从血液科门诊收治了几例血小板减少的患者。患者和家属普遍都比较焦虑,不约而同地提出疑问,血小板减少会是白血病吗?其实多虑了。大多数血小板减少患者是良性病。
什么是血小板减少

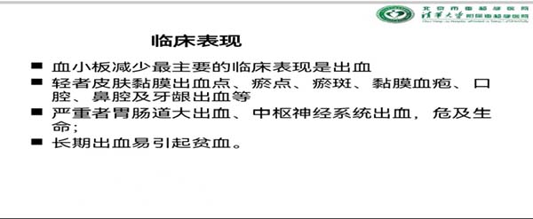
血小板减少常见临床表现

血小板减少的原因

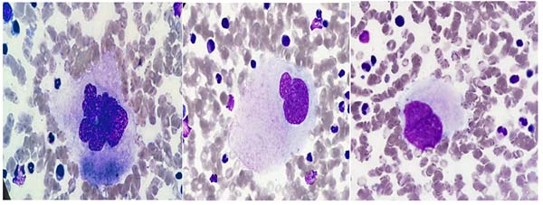
综上所述,血小板减少的原因有很多,临床上比较常见的是免疫性血小板减少(ITP)。下面是一例典型的免疫性血小板减少症患者的血常规和骨髓中巨核细胞的表现。经过给予糖皮质激素治疗后,血小板计数很快就恢复至正常水平,住院5天出院。


温馨提示
我们发现血常规报告中血小板计数减低时,不必过分担忧,应及时血液科门诊就诊,生活中应避免情绪激动,避免磕碰,警惕出血风险。

叶芳,血液内科专家
职称:主任医师
擅长:骨髓增生异常综合征,再生障碍性贫血,淋巴瘤,骨髓瘤白血病
出诊时间:
①血液内科专家门诊:每周二上午(具体时间以当日为准)
②血液内科知名专家门诊:每周四上午(具体时间以当日为准)
③国际医疗门诊:每周一上午(具体时间以当日为准)
本文仅用于公益科普,文中涉及的病例、数据等专业内容仅供参考。部分资料来源网络,侵删。
上一篇: 【垂医科普】年轻人,更需要胃肠镜检查?








京公网安备11010502033717号