科普文章
【院庆50周年系列科普】泌尿外科小科普:膀胱癌如何护理?
1、什么是膀胱癌?

膀胱癌是泌尿系统最常见的肿瘤,绝大多数肿瘤来自上皮细胞,其中90%以上为移行上皮肿瘤。可发生于任何年龄,甚至于儿童。其发病率随年龄增长而增加,高发年龄50~70岁。男性膀胱癌发病率为女性的3~4倍。


2、哪些因素会导致膀胱癌:
1.长期接触工业化学产品
2.吸烟

3.慢性感染及异物长期刺激:膀胱结石、膀胱憩室、埃及血吸虫病、膀胱炎
4.长期(10年以上)服用非那西汀止痛药
5.近年研究发现:遗传、染色体改变及癌基因激活、抑癌基因失活等分子水平改变在膀胱移行细胞癌的发生起重要作用

3、膀胱癌有哪些常见症状?
1.血尿:无痛性、间歇性血尿,即血尿间歇出现,可自行停止或减轻,两次血尿可间隔数天或数月,甚至半年。
2.膀胱刺激征:病变范围增大或合并感染时会刺激到膀胱,产生尿频和尿急的现象

3.尿路梗阻症状:肿瘤较大、膀胱颈部位的肿瘤及血块堵塞都会引起排尿不畅甚至尿潴留。肿瘤浸润到输尿管口会引起上尿路梗阻,从而出现腰痛、肾积水和肾功能损害。
4.转移灶症状:晚期肿瘤侵犯到膀胱周围组织、器官或有盆腔淋巴结转移时,会导致膀胱区疼痛、尿道阴道瘘和下肢水肿等,远处转移时会出现转移器官功能受损、骨痛及恶病质等。
4、如何确诊膀胱癌?
1.尿脱落细胞学检查:
应留取新鲜尿液(如晨起第二次尿液约10ml),连续留取3天
2.尿液常规检查:新鲜晨尿或随机尿10毫升左右,装入清洁尿杯送检。

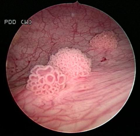
3.膀胱镜检查:膀胱镜检查是指将膀胱镜经尿道插入膀胱以直接观察膀胱和尿道内病变的检查方法。确定血尿原因及出血部位。确定膀胱肿瘤部位、大小、数目及性质。

注意:检查前排空小便,以利于医生准确的测定膀胱残余尿量。检查后适当休息,多饮水。出现血尿为术中损伤粘膜所致,1—3天即会消失。出现尿道灼痛可以饮水利尿,1~2日后即能转轻。术后医生会根据情况给您口服抗生素或静脉抗炎治疗。
5、如何治疗膀胱癌?
1. 化疗
2. 放疗
3. 免疫治疗
4. 手术治疗:常见手术方式有经尿道膀胱肿瘤电切术、膀胱部分切除术、全膀胱根治性切除术及尿流改道术(腹腔镜膀胱全切输尿管皮肤造口术、腹腔镜膀胱全切回肠膀胱通道术 、腹腔镜膀胱全切原位回肠膀胱术等)。



6、膀胱全切术患者术前注意事项
1. 术前一周或十天戒烟。
2. 饮食及肠道准备:
(1)术前3天:少渣半流质饮食、口服肠道抗炎药,当日晚应用甘油灌肠剂1次。
(2)术前2天:流质饮食,口服肠道抗炎药,当日晚应用甘油灌肠剂1次。
(3)术前1天:当日白天禁食不禁水,口服清洁肠道药物(根据实际情况遵医嘱服药)。术日晨禁食水,清洁洗肠。
3. 手术前一日为您进行皮肤准备,配血,做皮试。
4. 手术当日进手术室前您应解小便排空膀胱,护士会根据手术需要留置胃管、穿弹力袜等。

手术当天请您将自己的内衣、内裤全部脱掉,换上干净的病号服。将假牙摘掉浸泡在冷水中,将贵重的物品(手表、首饰)交家属保管。
7、膀胱全切术患者术后注意事项
1.术后早期活动可以促进肠蠕动,有利于腹部伤口的引流,也可以防止发生下肢深静脉血栓、肠梗阻、皮肤压疮等术后并发症。
全麻清醒前:去枕平卧位,头偏向一侧
全麻清醒后手术当日:低半卧位
手术后第1日:半卧位为主,在搀扶下适当下床
手术后第2日:逐渐适当增加活动度

活动时注意事项:每项活动无心慌、头晕、出虚汗等不适症状方可进行下一项活动并逐渐增加活动时间。
2.管路护理:保持通畅、妥善固定、活动时引流袋低于腰平面以下。


3.术后应禁食水,待拔除胃管肠蠕动恢复后可以进食,以流质或半流质为主(避免进产气的食物如:甜食、牛奶、豆浆等)逐步过渡到正常饮食。

注意:胃肠功能的恢复个体差异性较大,根据个人自身耐受情况而调整!手术方式不同,恢复饮食的时间不同,此表谨供参考。
4. 患者术后排尿功能训练:术后3周左右,导尿管拔除后,开始进行新膀胱排尿功能锻炼。
腹肌锻炼:每天3-6次,每次10分钟,呼气时收缩腹肌,保持3秒钟,吸气时放松。目的是加强腹肌和膈肌的收缩力,排尿时增加腹压,排尿动力增大。
盆底肌训练:
(1) 术前8-12天开始锻炼,术后2周就可练习提肛运动。
(2) 每日至少做30-45次,每次持续10秒左右。最初可由每次2-3秒开始,逐步达到每次10秒。
(3) 盆底肌训练是一个简单易行的方法,不受体位影响,站、卧、平时、等车、行走都可进行。
(4) 盆底肌肉锻炼:有意识的持续收缩盆底肌肉3-5秒,然后放松3-5秒,反复10-15次,为一个循环,每天锻炼3-8个循环,持续8周以上方可见效。


8、膀胱癌患者出院宣教
1. 定期复查肝肾功能、血常规等。
2. 多进食新鲜水果蔬菜,少食辛辣刺激食物,戒烟酒,多饮水保持大便通畅。

3. 生活规律避免劳累,不要做剧烈的活动,如提重物。不要用力排便、活动过量,防止出血。可以做散步、慢跑等有氧运动。
4.排尿训练:每次排尿尽可能的排净膀胱内的尿液。将手掌置于腹部膀胱最高点收缩腹肌,间歇性憋气用力或靠腹压排尿。必要时可采用蹲位或坐位,争取将尿液排尽。开始时可定时排尿,饮水多时2小时1次,平时3-4小时1次。坚持每天做提肛运动,以尽快恢复括约肌功能。

文章仅用于公益科普及学术交流,部分资料和图片来源于网络,如有侵权,请联系删除。
- 标签:
- 泌尿外科








京公网安备11010502033717号