科普文章
【院庆50周年系列科普】为什么要做胃肠镜检查
门诊经常有患者问,大夫,为什么要做胃肠镜检查?给大家分享3个例子,看看胃肠镜检查的必要性。
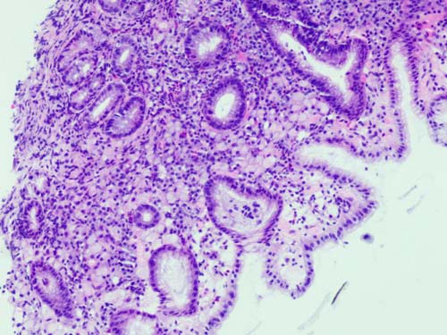
病例1:刘先生,36岁,因恶心、呕吐半个月就诊。建议患者做个胃镜检查。患者刚开始犹豫不决,后来在医生的耐心劝导下同意做胃镜检查。胃镜检查如下图:

胃镜检查中,医生发现患者胃窦前壁有糜烂、自发性出血的病灶,于是谢俏医生为患者取了病理活检。病理活检结果回报:印戒细胞癌。

印戒细胞癌是消化道肿瘤中恶性程度高的肿瘤,大部分患者发现时已经是晚期,由于该患者发现早,及时手术,患者预后也是非常好的。
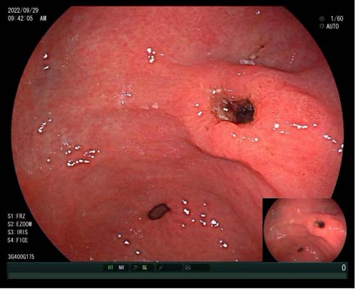
病例2:王先生,56岁,因“腹痛、腹胀伴消瘦1年余”来医院就诊,医生仔细询问患者,发现患者有胃癌家族史,建议患者做个胃镜。患者确实难受很长时间了,于是做了个胃镜,结果如下:

胃镜检查发现胃窦溃疡,根据患者胃镜下表现即高度怀疑为恶性溃疡,谢俏医生为患者取了病理活检,病理结果是:中分化腺癌。患者进一步完善腹部CT检查已出现腹腔转移,治疗效果较刘先生差很多。
病例3:李女士,48岁,看网上科普说过了40岁就应该做一次胃肠镜,一想到自己从来没做过,最近时不时有肚子疼,于是就来医院预约了胃肠镜检查。胃镜检查没有问题,可是肠镜检查时,谢俏医生发现了李女士升结肠有点问题,于是就在病灶处染了靛胭脂,果然清晰的看到了病灶问题:


这也是一种肠息肉,并且长在肠子的最里面,“伪装”的特别好,若不是李女士来检查肠镜,并且肠道清理的非常干净,这个病变是特别难发现的,现在发现可以在肠镜下把息肉切除,并且切除损伤很小,好比家里的墙纸坏了,把坏掉的墙纸撕下来一样,创伤很小。等到李女士有症状的时候再来做肠镜,这个病变肯定是要长大非常多,并且肠镜下切除不了,需要开腹手术治疗。
为什么必须做一次胃肠镜?早发现,早治疗,能救命!上述刘先生和李女士应该感谢的人并不是我们,而是他们自己,正是他们及时检查,才尽早的发现问题、得到及时合理的治疗,最终使自己获益!
为什么无症状也要做一次胃肠镜呢?
第一,胃癌、大肠癌与其他癌症不同
,它首先症状隐匿,早期大多没有任何症状;
第二,早期胃癌、食管癌和结肠癌生长及其缓慢,比如结肠息肉到肠癌,大约需要10-15年的时间。
所以,我们完全能做到早发现,早治疗,只要赶在癌变前做一次胃肠镜,就能发现并切除它。
但遗憾的是,很多患者,总是担心疼痛而不接受胃肠镜检查。有的则可能因工作繁忙等原因而一拖再拖,错过了宝贵的早查早治时间。
目前我国就诊患者中,早期病例不足10%,治疗中花费大而收效小,资源浪费严重。早期发现、及时治疗与晚期发现再作治疗,医疗收费用相差10倍以上,早期肿瘤患者,大多无须开腹治疗只行内镜下治疗即可,医疗费用是中晚期大肠癌治疗费用的1/10甚至1%。不仅医药费用昂贵,而且患者痛苦大、并发症、后遗症多,预后较差。
早期的胃癌、食管癌、结肠癌发展至晚期癌,这个过程大约需要5-15年,而高发年龄是50岁以后,所以,我们应该在40岁前做第一次胃肠镜,早期发现,及时切除,就可以杜绝癌变。
因此,我们在此呼吁大家:没症状也要做胃肠镜检查!
本文仅用于公益科普,文中涉及的病例、数据等专业内容仅供参考。部分资料来源网络,侵删。
- 标签:
上一篇: 【院庆50周年系列科普】夏天食用凉菜、熟食谨防亚硝酸盐中毒
下一篇: 缺铁性贫血诊断标准








京公网安备11010502033717号