科普文章
【垂医病例科普】反复咳嗽咳痰,“罪魁祸首”竟会是它
胸外科小课堂开课啦
1、什么是肺隔离症?
肺隔离症是指一种少见的先天性肺发育畸形,病变部分肺组织发育不完全。表现为肺叶的一部分与其他部分隔离,有单独的体循环动脉分支血液供应,血供来自于胸主动脉、腹主动脉、肺动脉、锁骨下动脉等[1]。由于肺隔离症的临床症状不典型,其临床诊断主要依靠胸部增强CT和三维血管重建结果,最终诊断需要结合手术病理结果[2]。根据病变是否有完整的胸膜和正常肺组织边界,可分为叶内和叶外肺隔离。最常见的类型是叶内肺隔离,叶内型与正常肺组织包裹在同一胸膜下,解剖关系密切,与支气管相通,可有症状,主要表现为呼吸道相关症状;叶外型单独包裹在其自身的异常胸膜下,与正常肺相对独立,可无症状[3]。
2、 肺隔离症如何治疗?
肺隔离症的治疗方法主要是手术切除病变肺组织。除有合并明确手术相关禁忌证的患者外,微创胸腔镜手术是肺隔离症首选的治疗方法。与传统开胸手术相比,微创胸腔镜手术具有切口小、术中出血少、术后恢复快、术后住院时间短等优点[2,4]。对于叶外型肺隔离症,可仅切除病变部位;对于叶内型肺隔离症,可根据影像学检查结果讨论手术计划,可选择的手术方案有:胸腔镜下肺叶切除术、胸腔镜下楔形切除术或胸腔镜下解剖性肺段切除术。相比保守治疗,早期手术干预不仅可以降低手术风险,还可以防止恶性病变的发生[2,4-6]。
病例概要
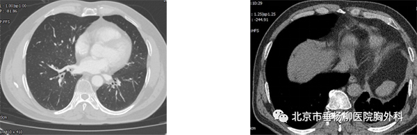
患者男性,60岁,主因“发现左肺下叶占位1月余。以“左肺下叶占位”入院,胸部增强CT:左肺下叶脊柱旁类圆形实性结节影,直径4.5*4.2cm,边界较清晰,增强扫描未见明显强化,可见腹主动脉分支血管进入病灶内。术中叶裂分化不全,左肺下叶与膈肌及纵膈胸膜粘连明显,遂行胸腔镜下左肺下叶切除术,手术历时4小时,完整切除肿物,术后病理回示:叶内型肺隔离症。术后患者恢复良好,术后5天拔出胸腔引流管,术后7天出院。
术前胸部CT(肺窗) 纵膈窗

术后胸部CT(肺窗) 纵膈窗

温馨提示
肺隔离症是一种罕见的先天性肺畸形,微创胸腔镜手术是肺隔离症患者的首选治疗方法,手术关键是要仔细合理地治疗孤立肺的异常供血动脉,手术通常可以达到令人满意的效果。清华大学附属垂杨柳医院胸外科目前已常规开展腔镜下肺楔形切除术、解剖性肺段切除术、以及肺叶切除术,术后病人恢复快,并发症少,我们以饱满的热情,精湛的技术,舒适的环境为您的健康保驾护航!
[1] Mendeloff, Eric N . "Sequestrations, congenital cystic adenomatoid malformations, and congenital lobar emphysema." Seminars in Thoracic & Cardiovascular Surgery 16.3(2005):209-214.
[2] Liu X, Wu R, Zhu S, Gu L, Tang Z. Imaging and pathological characteristics, treatment, and prognosis of pulmonary sequestration-A retrospective study of 13 cases. Clin Respir J. 2023 Aug 2. doi: 10.1111/crj.13672. Epub ahead of print. PMID: 37533295.
[3] Wu Y, Xi L, Pan Z, Wu C, Li H. Torsed extralobar pulmonary sequestration associated with congenital lobar emphysema: a rare entity. Ther Adv Respir Dis. 2023 Jan-Dec;17:17534666231164535. doi: 10.1177/17534666231164535. PMID: 36988433; PMCID: PMC10064460.
[4] Xie Y, Yan D, Shen J. Video-assisted thoracic surgery versus thoracotomy for treatment of patients with pulmonary sequestration: A systematic review and meta-analysis. Asian J Surg. 2023 Aug;46(8):3387-3388. doi: 10.1016/j.asjsur.2023.03.097. Epub 2023 Mar 25. PMID: 36973139.
[5] Sun Y, Shao F, Zhang Q, Wang Z. Feasibility investigation of uniportal video-assisted thoracoscopic anatomical lung resection for pulmonary sequestration. J Cardiothorac Surg. 2020 May 13;15(1):93. doi: 10.1186/s13019-020-01126-x. PMID: 32404207; PMCID: PMC7222582.
[6] Wang S, Li Y, Wang J. Video-Assisted Thoracoscopic Surgery for Pulmonary Sequestrations: Series of 35 Consecutive Patients in a Single Center. Thorac Cardiovasc Surg. 2019 Jan;67(1):73-78. doi: 10.1055/s-0038-1668596. Epub 2018 Aug 30. PMID: 30165709.
- 标签:
- 胸外科








京公网安备11010502033717号