科普文章
【介入技术】气管良性狭窄镜下介入治疗的利器:接触式半导体激光
近日,北京市垂杨柳医院呼吸与危重症医学科在特聘专家张杰主任指导下实现技术突破,成功完成多例“气管良性狭窄的镜下介入治疗”,开启了呼吸与危重症医学科介入治疗的新篇章。
患者1:姜某,男性,50岁,活动后气促4年,加重伴发热4天入院,4年前于外院诊断“支气管结核”,抗结核治疗1年,治疗期间气管镜检查发现气管狭窄,此后逐渐出现:活动后气促、不能提重物、不能爬楼、不能快走等表现,很多日常生活受限。此次于住院前4天患者无明显诱因出现发热,咳黄痰,气促明显加重,平地缓慢行走即出现明显气促,患者仅早上洗漱过程就得停下来休息2-3次才能完成。
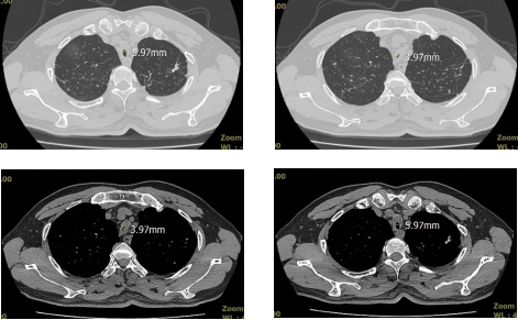
入院时患者胸部CT:气管有相邻两段狭窄,最窄处仅有不到4mm宽(图1)。

图1 入院时胸部CT示气管明显狭窄
入院后行第一次气管镜检查可以看到患者气道严重的瘢痕狭窄(图2),这么严重的气道狭窄一旦发生痰液堵塞或者误吸很容易引起窒息并可危及到患者生命。

图2 气管上段瘢痕狭窄
经过术前充分评估和周密准备,同时在麻醉科默契配合下,张杰主任带领呼吸与危重症科介入团队给患者实施了气管镜下介入治疗。常规气道狭窄介入治疗通常会应用高频电刀、氩气刀进行瘢痕及肉芽组织的消融治疗,但以上两种消融方式易形成瘢痕、焦痂造成二次狭窄,而该患者气道狭窄严重,可操作空间小,治疗过程中首要任务是保证不会因为焦痂形成或出血导致气道阻塞,因此术中首先运用高频电针松解瘢痕,随后选择接触式激光进行肉芽组织及瘢痕组织的消融(图3),手术过程顺利,效果非常满意,患者气道狭窄得以明显改善。术后患者由衷的感慨“我又活过来了、我现在都能跑步了”。


患者2:王某,男性,70岁,因气管插管导致气管瘢痕狭窄、呼吸困难入院。术前气管镜下(图5),气管内瘢痕狭窄明显,术中应用高频电针松解瘢痕、接触式激光消融治疗以及镜下冷冻治疗(图6)后,患者气道狭窄明显改善(图7),呼吸困难得以解除。

患者3:李某,男,33岁,同样因气管插管导致气道瘢痕狭窄,喘鸣明显,活动受限。气管镜下可见声门下气管狭窄严重,术中给于接触式激光、球囊扩张及冷冻治疗后气道显著增宽,患者的生活质量得以明显提升。

关于接触式半导体激光技术
接触式半导体激光是将光能转换成热能之后,热能作用于组织,热效应使局部生物组织凝固坏死、碳化、汽化甚至蒸发,从而达到消融目的。这项技术相比于传统的热消融平台如高频电凝、氩气刀的优点:
1,操作先端管径小。
2,接触式,精准度极高,气管膜部消融可避免损伤或击穿的风险。
3,消融热场控制最精准,碳化层更薄更均匀一致,对周围组织的损伤更小,无需术后清理焦痂。
4,无电流导入人体组织。
5,消融的过程没有闪光、明火,产生烟雾少,对视野的保持和避免气道内燃烧有良好的保障。
6,消融灶凝固性好,输入能量值精准、可控。
缺点:单针消融范围小,对于大肿瘤不如氩气刀、射频、微波更有效率。
因此,接触式半导体激光今后在呼吸介入领域的应用前景广阔。北京市垂杨柳医院呼吸与危重症医学科介入中心,支气管镜下三四级手术量迅速提升,成功开展多项技术。今后,呼吸与危重症医学科将继续以学科建设为重点,科研教学为抓手,积极对接国家级专家资源,着力提升学科水平,更好地为患者服务。
本文仅限于公益科普及学术交流,如有不适请及时就医。部分图片及资料来源于网络,侵删。








京公网安备11010502033717号