科普文章
【垂医科普】什么是水泡状胎块/葡萄胎?如何精确诊断?

水泡状胎块(Hydatidiform mole,HM)又称葡萄胎,是一种滋养细胞疾病,一旦怀疑葡萄胎也不要惊慌,请到正规医院检查治疗,下面一起来了解一下。
什么是葡萄胎?
葡萄胎是受孕时受精卵出现某些异常导致的胎盘绒毛滋养细胞增生,间质高度水肿,形成大小不一的水泡,水泡间相连成串,形如葡萄而得名。葡萄胎是最常见的妊娠滋养细胞疾病(gestational trophoblastic disease,GTD),有专家将HM列为妊娠滋养细胞肿瘤(gestational trophoblastic neoplasia,GTN)的前驱病变。中国流行病学调查显示,葡萄胎发生率约为0.81‰。

孕妇出现哪些症状时可怀疑是葡萄胎?
停经后阴道出血、子宫异常增大,明显大于相应孕周、妊娠剧吐、卵巢黄素化囊肿、甲状腺功能亢进、子痫前期等症状都有可能是葡萄胎的外显症状。
葡萄胎的分类
根据遗传、组织病理学特征及临床表现,可将HM妊娠分为完全性葡萄胎(complete HM,CHM)及部分性葡萄胎(partial HM,PHM)2种类型。
CHM多数为空卵受精的孤雄起源,具有双倍体染色体(46XX和46XY),均来自于父系,包括一个空卵与一个精子受精后再复制的单精纯合双雄二倍体型和一个空卵与两个不同精子同时受精的双精杂合双雄二倍体型。另外还有一类特殊的双亲源性CHM,具有正常比例的双亲基因组,但由于基因印记相关基因突变导致母源性基因被异常灭活而发生完全性葡萄胎。

完全性葡萄胎:单精纯合完全性葡萄胎(80%)和双精杂合完全性葡萄胎(20%)
PHM为正常卵细胞的双精受精,具有三倍体染色体(69XXY、69XXX和69XYY),包括双精杂合双雄单雌三倍体型和单精纯合双雄单雌三倍体型,但并不是所有的三倍体妊娠都是PHM,还有1/3的三倍体妊娠是由于减数分裂过程中母体染色体未分离而形成的双雌单雄性基因组,此为非葡萄胎型三倍体。

部分性葡萄胎:双精杂合部分性葡萄胎(90%)和单精纯合部分性葡萄胎(10%)
葡萄胎的治疗及预后
大多数HM可经清宫治愈,小部分HM可能恶变为妊娠滋养细胞肿瘤,包括侵袭性葡萄胎和绒毛膜癌。不同类型的HM恶变可能性不同,CHM恶变的概率为15-20%,可发生远处转移。值得注意的是双精杂合型比单精纯合型CHM更容易发生恶性转化,进展为持续性滋养细胞疾病;而PHM恶变的概率只有4%,一般不发生远处转移,因此对葡萄胎进行准确诊断和分型非常重要!
葡萄胎诊断方法
葡萄胎的辅助检查主要包括超声检查及血清β-hCG水平测定,但由于妊娠早期超声筛查的普及和β-hCG的准确性检测,大多数的葡萄胎病理是在出现典型临床表现前发现的。众所周知,形态学鉴别早期葡萄胎缺乏准确性,使用更加准确的葡萄胎诊断方法是进行临床诊断和流行病学研究的保证。
《中国妇科肿瘤临床实践指南(2023版)》指出免疫组化p57染色和染色体核型检查、短串联重复序列(short tandem repeats,STR)有助于CHM、PHM和非葡萄胎性流产的鉴别诊断。清宫术后标本应仔细检查并记录清出物的重量(g)、出血量(m)、水泡状胎块直径(cm),将吸刮出物送病理检查,有条件者可行葡萄胎组织STR检测,有助于葡萄胎鉴别诊断。2014年第4版《女性生殖器官WHO肿瘤学分类》强烈推荐葡萄胎的辅助诊断应选用基于DNA基因分型(STR基因分型)技术。
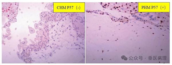
p57免疫组化检测:
p57是一个父源印记母源表达基因,CHM通常表现为细胞滋养细胞和绒毛间质细胞呈p57核染色阴性;而PHM和非葡萄胎妊娠中,细胞滋养细胞和绒毛间质细胞呈p57核染色阳性,所以p57无法对PHM和非葡萄胎妊娠进一步区分。

染色体核型分析:
核型分析常用于从完全性葡萄胎和非葡萄胎性水肿性流产中鉴别部分性葡萄胎,但此方法不能明确妊娠绒毛组织中染色体的亲本来源,因此无法区分均为二倍体核型的CHM和非葡萄胎性水肿性流产,也无法区分均为三倍体的PHM和双雌单雄性非葡萄胎三倍体流产。
STR基因分型检测:
短串联重复序列又称微卫星DNA,是广泛分布于基因组中的2~6bp重复序列,个体间具有高度多态性和遗传稳定性。葡萄胎的发病机理使有其独特的遗传学背景,遗传学分型被认为是最终诊断葡萄胎的“金标准。近数年来STR的多态性分析被证实为最为准确且实用的葡萄胎诊断和分型手段。通过对妊娠物及双亲(至少母亲)STR多态性的检测,可确定妊娠物的基因型(genotype),从而确定妊娠物的遗传学起源,以便确认有无父源遗传物质及其比例,从而区分CHM、PHM与其他非葡萄胎性妊娠。另外STR检测可区别GTN与生殖细胞或体细胞起源的非妊娠绒癌,从而为进一步治疗方案的选择提供依据。新近研究显示,在持续性或复发性GTN的情况下,STR分析还可帮助鉴别疾病是再次GIN还是既往GIN的复发。

所有STR位点单分型且至少2个STR位点完全不含母源性等位基因,符合单精纯合完全型葡萄胎。

注:P57是印记基因,胎盘部位父源性P57基因不表达,仅有母源性P57等位基因得以表达
现本科室基于一代测序平台可开展葡萄胎STR基因分型检测,通过对绒毛组织和蜕膜组织(或母亲外周血)检测,可明确异常胚胎染色体来源,确诊葡萄胎以及葡萄胎的具体分型,结合病理形态学、p57免疫组化实现葡萄胎进行精准诊断,指导进一步治疗。
参考文献
1.黄禾等. (2016). 葡萄胎的诊治进展. 中国医刊. Doi:10.3969/j. issn.1008-1070.2016.01.010.
2.刘岩等. (2016). 葡萄胎诊断进展与STR基因分型的应用. Obstetrics-Gynecology and Genetics. Doi:10.3868/j. issn.2095-1558.2016.04.005.
3.中国抗癌协会妇科肿瘤专业委员会. (2018). 妊娠滋养细胞疾病诊断与治疗指南(第四版). 中国实用妇科与产科杂志. Doi:10.19538/j. fk2018090113.
4.Oliva, E., et al. (2014). WHO classification of tumours of female reproductive organs.
5.Natalia, B., et al.(2012). New diagnostic modalities in the histopathological diagnosis of hydatidiform moles. Diagnostic Histopathology. Doi:10.1016/j. mpdhp.2012.02.004.
6.中华医学会妇科肿瘤学分会,《中国妇科肿瘤临床实践指南(2023版)》.
本文仅限于公益科普及学术交流,文中部分资料及图片来源于网络,侵删。
- 标签:








京公网安备11010502033717号