科普文章
【垂医病例科普】胸外科:肺部结节不要怕,多种检查有办法
病例概要
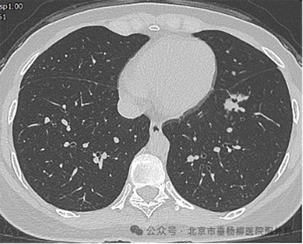
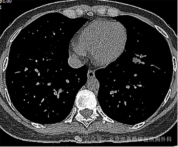
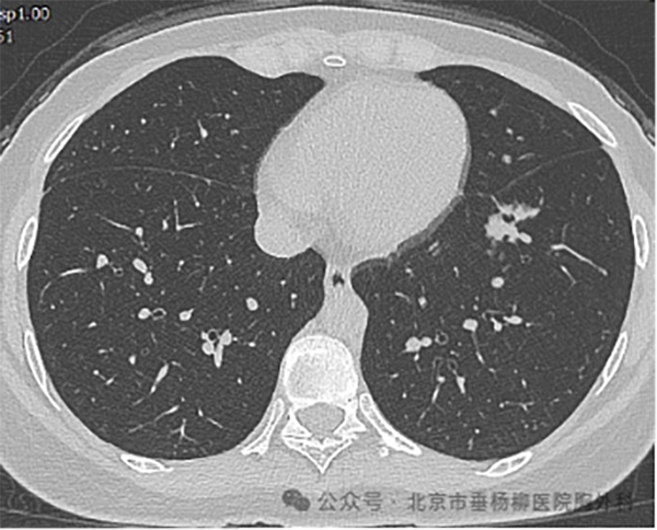
患者,女性,28岁,主因“发现左肺下叶结节3月。”来诊。查胸部增强CT:左肺下叶内前基底段部分实性病灶,长轴沿支气管走形方向,大小约4.1*1.1*2.0cm,边界清楚,周围伴磨玻璃影,边缘毛刺、分叶,其内可见空泡及支气管截断征象,周围可见血管伴行,增强扫描呈不均匀强化,恶性可能性大。考虑病人为青年患者,需慎重选择手术切除治疗及手术方式,有结节穿刺活检明确诊断指征。
考虑患者结节虽然靠近外周,但周围较多血管穿行,采用经皮肺穿刺活检并发症风险较高;崔健主任医师充分评估患者胸部CT后,提出患者气管内存在病变,可进行气管内活检,但由于病变位置较深-位于8级支气管,单纯气管镜无法抵达病变处支气管,遂决定采用经支气管超声导向鞘引导的经支气管肺活检术(EBUS-GS-TBLB)。
术前CT

肺窗

纵隔窗
为降低患者术中疼痛,遂采用全麻方式进行活检,通过手绘病变部位路径指导手术路径,手术顺利,术后病理组织结果于手术当天回报,病理(左肺下叶结节):可见肿瘤细胞。后结合免疫组化结果考虑腺癌。最终,患者快速、准确的进行了胸外科手术,治愈疾病。
术中超声病变1 病变2

科普小贴士
什么样的肺结节需要经支气管超声导向鞘引导的经支气管肺活检术(EBUS-GS-TBLB)?
EBUS-GS-TBLB是一种采用直径约1.4mm的外周型超声探头进行的活检术,可通过气管镜的钳道送入气道内,几乎可深入直径1mm左右的细支气管进行检查,因此主要应用于肺外周病变的诊断(不能直视的5-7级甚至更远的支气管)。当超声探头探查清楚可疑病灶后,通过配套活检钳钳取或刷取组织或者细胞进行病理诊断。以损伤小、价值高的特点广泛应用于临床。
目前支气管超声(EBUS)主要有两种方式,即超声内镜引导下经支气管针吸活检术(EBUS-TBNA)和超声内镜引导下引导鞘管肺活检术(EBUS-GS-TBLB)。与EBUS-GS-TBLB不同的是,EBUS-TBNA常为纵隔、肺门淋巴结肿大者取材进行病理诊断的首选方式,取材的安全性和准确性已被多项研究证实。[1-3]。
温馨提示
发现肺部结节不要紧张,可在专业的胸外科医师评估后,选择合适的活检或确诊方法,并进一步决定是否行手术治疗。清华大学附属垂杨柳医院胸外科不仅可为肺结节患者提供早期的疾病诊断,还可以在确诊后进行进一步的手术治疗操作,最终彻底根治疾病。
目前已熟练开展的技术有CT引导下经皮肺穿刺活检、支气管镜下活检、支气管超声引导下活检、胸腔镜活检、外科手术活检等,其中CT引导下经皮肺穿刺活检、支气管超声引导下经支气管针吸活检术(EBUS-TBNA)和支气管超声导向鞘引导的经支气管肺活检术 (EBUS-GS-TBLB)均能在保证安全、快速的同时,达到很高的准确性,让每个就诊患者均能获得综合、全面、个性化的诊治方案。我们将以饱满的热情,精湛的技术,舒适的环境为您的健康保驾护航!
参考文献
[1] 王乐,朱杰,郑鹏宇,等.多层螺旋CT与CT引导下经皮肺穿刺活检术对2.0cm以下周围型肺癌的诊断价值[J].中国肿瘤临床与康复, 2021, 28(5):5.DOI:10.13455/j.cnki.cjcor.2021.05.09.
[2]杜焰家,石晓雁,张伟强,等.EBUS-TBNA与EBUS-GS-TBLB对合并肺门及纵隔淋巴结肿大的肺占位性病变诊断效能比较[J].山东医药, 2022, 62(8):4. .
[3] Hu Z, Tian S, Wang X, Wang Q, Gao L, Shi Y, Li X, Tang Y, Zhang W, Dong Y, Bai C, Huang H. Predictive value of the resistance of the probe to pass through the lesion in the diagnosis of peripheral pulmonary lesions using radial probe endobronchial ultrasound with a guide sheath. Front Oncol. 2023 Jul 31;13:1168870. doi: 10.3389/fonc.2023.1168870. PMID: 37588089; PMCID: PMC10425773.
本文仅限于公益科普及学术交流,如有不适请及时就医。文中部分图片及资料来源于网络,侵删。








京公网安备11010502033717号