科普文章
【垂医科普】骨四科(脊柱外科):老年人背痛请别忽视,需除外肿瘤!
近日,北京市垂杨柳医院骨四科(脊柱外科)收治了一名因主诉胸背部顽固性疼痛的患者,疼痛范围为右侧肋缘至脐水平。

病例回顾
这是一名70岁女性,来我科就诊时右肋缘至脐水平疼痛剧烈,时间超1月,期间于外院就诊未查见明显问题,给予贴敷膏药、口服止疼药效果均不佳。近日患者来到我院骨四科(脊柱外科)就诊,医生经过仔细的查体和检查后基本排除了肋骨骨折、肺部疾病、心脏疾病等可能。为进一步明确病因,医生建议她拍个胸椎增强MRI。果不其然,这一拍真拍出了大问题:

▲T2加权像平扫发现T10/11水平右椎间孔及外侧神经根走行区域
一2*3cm的类圆形占位,边界清晰。

▲T2加权像增强扫描可见明显强化
根据影像学表现,初步考虑神经鞘瘤可能性大。体格检查肢体感觉、肌力、反射未见明显异常。随即骨四科(脊柱外科)的医生对手术风险进行了评估,由于生长在这个位置的神经鞘瘤由于其所处位置紧邻多个重要解剖结构,手术过程中发生胸膜、肋间神经、肋间动/静脉乃至脊髓损伤的风险较大。与患者及家属详细交代手术风险,患者及家属十分信任我们并积极要求手术治疗。

进一步完善术前检查,除外手术禁忌症后,骨四科(脊柱外科)的姜树东主任及唐新力医生给患者在全麻下做了后路胸椎椎板切除减压病灶切除椎弓根钉内固定术。术中医生小心翼翼的剥离,将肿瘤完整取出。手术十分顺利,未损伤到胸膜、脊髓、肋间神经、肋间动/静脉血管等重要解剖结构。手术采用微创小切口短节段固定,减少了对病人的手术创伤,缩短了术后愈合的时间。

术中快速冰冻病理提示神经鞘瘤。
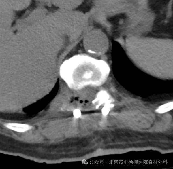
术后复查CT提示肿物已被全部取出。

钛合金内固定物位置良好。

术后患者第2天即感疼痛消失,术后5日患者顺利出院。
神经鞘瘤
本病又名施万细胞瘤,是由周围神经的Schwann鞘(即神经鞘)所形成的肿瘤,亦有人称之为神经瘤,为良性肿瘤,是周围神经性肿瘤中最常见的一种,极少恶变。神经鞘瘤可发生于任何有神经的部位,多见于四肢屈侧较大的神经干,上肢多于下肢;可见于任何年龄,以青壮年( 20一50 岁)居多;90% 为单发,常生长于脊神经后根,肿瘤多沿神经干的一侧偏心生长,大小不一,直径多<5cm。如肿瘤较大,可有2~3个神经根粘附或被埋入肿瘤中。神经根粗大,亦可多发于几个脊神经根。少数患者可伴发多发性神经纤维瘤病,可见患者皮肤上有咖啡色素斑沉着及多发性小结节状肿瘤。脊髓神经鞘瘤的大小通常为2~3厘米。
临床表现
可长期无症状,偶患者常因神经走行部位出现肿物,受累神经支配区麻痛、无力为主要症状就医。较表面者,可触及肿物,沿其长轴向两侧推动、叩击或按压肿物,可有剧烈疼痛或放射性感觉异常( Tinel 征阳性)。恶性神经鞘瘤常出现明显疼痛或神经症状。
椎管内肿瘤鉴别诊断
1. 脊膜瘤
脊膜瘤占椎管内肿瘤10% ~ 30% ,85%位于髓外硬脊膜下,胸段好发。瘤体小而质地硬,具有完整的包膜,基底在硬脊膜,瘤体血运丰富,通常单发,多为良性,少数可多发或恶性变。发病年龄20 ~50岁,女性多于男性。
临床表现与神经鞘瘤相似,神经根痛或束性疼痛、从足部逐渐向上发展肢体麻木及锥体束征阳性。脊椎X线平片可见局限性椎弓根变形和骨质变薄,椎体后缘凹陷,椎弓根距离增宽和椎间孔扩大,CT扫描瘤体呈等或稍高密度,可被均匀增强。MRI扫描肿瘤T1加权像等信号,T2加权像高信号。
手术切除效果好。马尾区脊膜瘤少见,易恶变,应广泛切除受侵硬脊膜。
2. 室管膜瘤
脊髓内室管膜瘤好发于30~60岁,男性多见。肿瘤起源于脊髓中央管的室管膜细胞,在中央管内上下蔓延,可长达数个或十余个髓节。肿瘤有假包膜,质地柔软,巨大肿瘤可突破脊髓表面。瘤体上下两极的中央管常膨大形成囊肿或脊髓空洞。一半以上发生在圆锥和终丝,其次为颈髓。
室管膜瘤生长缓慢,病史长,首发症状以单侧或双侧肢体疼痛最多见,可为灼痛、刺痛;以后出现感觉异常、运动障碍及括约肌功能障碍。MRI扫描T1加权像肿瘤边界清楚,信号高于正常脊髓。包膜完整的肿瘤可以手术全切。手术切除后可辅助放射治疗。
3. 星形细胞瘤
星形细胞瘤发病年龄30 -60岁,男:女为1.5:1。肿瘤可发生于脊髓各个节段,胸段最多见,其次为颈段;75%恶性程度较低。瘤体无包膜,分界不清,可发生囊变。MRI扫描可见肿瘤部位脊髓增粗,肿瘤信号高于邻近脊髓。肿瘤呈浸润性生长,难以全切。手术切除高颈段肿瘤应慎重。一般不宜缝合硬脊膜,以充分减压。对高级别星形细胞瘤术后应放射治疗。
4. 转移瘤
大多数椎管内转移瘤位于硬脊膜外,10%癌症病人可发生椎管内转移。原发灶多为肺、前列腺、乳腺和肾的癌肿。以胸段多见,其次为腰段。转移途径为血管或淋巴系统;椎旁肿瘤可经椎间孔侵入椎管,也可直接转移至脊柱。
5. 表皮样囊肿和皮样囊肿
表皮样囊肿和皮样囊肿可发生在椎管的任何节段,绝大部分肿瘤位于T9以下,多发生在髓外硬脊膜下,约1/3发生在硬脊膜外。因囊内容物含有刺激性胆固醇和脂酸,溢入蛛网膜下隙可引起无菌性脑膜炎。病人常合并有脊柱裂和皮肤窦道。MRI显示表皮样囊肿为稍短T1的较均匀高强度影;皮样囊肿为等T1信号且较均匀,常伴有脊柱裂、脊柱椎体异常等。
尽可能全切囊壁及囊内容物。不宜勉强全切与脊髓或神经根粘连过紧囊壁,以免损伤神经组织。
95%病人以局部根痛或牵扯痛为首发症状,疼痛剧烈,卧床时背痛是此类肿瘤典型表现。脊柱X线平片显示椎弓破坏,椎间孔扩大。CT扫描可见硬脊膜外软组织低密度影向内压迫脊髓,向外累及椎管壁;邻近椎体溶骨性骨破坏和椎间孔狭窄。MRI扫描肿瘤为长T1、长T2信号。应积极寻找原发灶。
6. 脊索瘤
15%脊索瘤发生于椎管骶尾部,多见于30-40岁,女性稍多于男性。低尾部肿瘤破坏骶骨后可向前侵人盆腔、向后侵入椎管压迫脊髓。肿瘤一般为良性,少数呈恶性可穿破硬脊膜,经脑脊液循环种植在其他部位。
骶尾部脊索瘤表现为骶尾部疼痛,肿瘤较大时可发生便秘;压迫骶神经时造成下肢及臀部麻木或疼痛。X线平片显示骶骨局部膨胀,有骨质破坏及钙化斑。MIRI显示肿瘤呈长T1,长T2信号,T1加权像呈低信号,T2加权像呈高信号.
肿瘤浸润性生长,与正常椎骨边界不清,难以全切,应注意保留低神经维持括约肌功能。切除不彻底者术后辅以放射治疗。
治疗目的是缓解疼痛,维持脊柱稳定性,保护括约肌和行走功能。放射治疗可单独或术后应用,照射范围应包括肿瘤上下两个节段。根据肿瘤性质可选择化学药物治疗。
7. 畸胎瘤
畸胎瘤多见于骶尾部。有包膜,表面不规整,与周围组织粘连,肿瘤内可见三个胚叶组织,可囊变、出血及坏死。一般为良性,少数恶性畸胎瘤可转移至身体其他部位。采取手术治疗。
神经鞘瘤预后与治疗原则
手术切除为主要治疗手段,完整切除可治愈,预后良好。
老年人背痛怎么办?
老年人背痛是一种常见的问题,通常由多种因素引起,包括退行性疾病、姿势不良、肌肉无力或紧张、以及椎间盘退变等。老年人背痛一定不要忽视,对于身体的问题要尽量做到“早发现、早诊断、早治疗”。
常见原因:
1. 退行性疾病:随着年龄的增长,脊椎骨和椎间盘可能会发生退行性改变,例如骨质疏松症和椎间盘突出,这些都可能导致背痛。
2. 姿势不良:长期保持不良姿势,例如久坐或站立,可能会引起背部肌肉紧张和疼痛。
3. 肌肉无力或紧张:老年人常常缺乏锻炼,导致背部肌肉无力或紧张,从而引发疼痛。
4. 关节炎:脊椎关节炎也是老年人背痛的一个常见原因。
5. 压缩性骨折:伴有骨质疏松症的老年可能在轻微外伤甚至没有明显外伤的情况下出脊柱压缩性骨折,从而引发剧烈的背痛。
当以上可能均不能解释背痛原因时还需除外肿瘤可能!
本文仅限于公益科普及学术交流,如有不适请及时就医。文中内容不作为医学诊断依据。文中部分图片及资料来源于网络,侵删。








京公网安备11010502033717号