科普文章
【垂医病例科普】胸外科:命悬一刻 | 从牙到胸的“感染”路
垂医病例
近期,北京市垂杨柳医院胸外科联合医院麻醉科、急诊科、放射科等科室,成功救治一名病情凶险的下行性坏死性纵膈脓肿合并右侧脓胸的危重患者。但仔细了解病情后,才发现病因起自“小小的种牙”。患者在种牙后出现持续低烧,在一路潜伏到了纵膈及胸腔后,竟然给患者带来如此致命的危险。到底是什么原因带来如此高的风险?下面将逐步介绍幕后黑手:牙源性纵膈感染。
病例概述
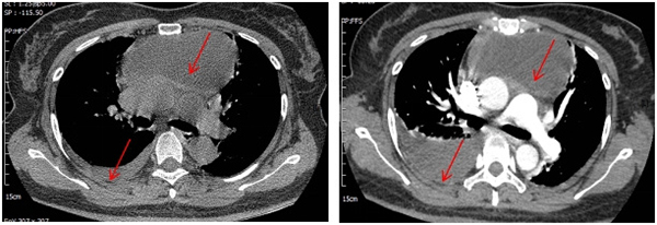
患者是一名47岁的女性,5天前因“种牙后出现低热”就诊附近社区医院,最高37.9℃,无咳嗽、咳痰、胸闷、胸痛等不适,给予消炎、退热治疗后,仍反复低热。5小时前突发右侧前胸痛,疼痛难以忍受并持续不缓解,后疼痛转移向右侧背部,遂就诊北京市垂杨柳医院急诊科,查胸部CT:前纵隔大片囊性低密度影,大小约10*5cm,双侧少量胸腔积液、心包少量积液。遂即刻联系胸外科会诊。胸外科医师赵洋乐在充分了解病情后,结合患者近期种牙后持续低热病史,初步判断前纵膈肿物性质:牙源性引起的纵膈脓肿可能性大。

▲术前第一次胸部CT和第二次胸部增强CT
为除外其他纵膈疾病可能及全面评估病情,在急诊科的帮助下,迅速完善了胸部增强CT和心脏超声,在除外了心包脓肿和其他纵膈疾病的同时,发现了右侧胸腔积液较前明显增加,结合患者突发右侧胸痛病史,考虑纵膈感染破入右侧胸腔可能性大。
胸外科主任崔健在充分了解患者病情后,对病情进行了全面评估,即刻联系放射科安排CT引导下前纵膈肿物穿刺术,抽吸出黄色脓性坏死物,确诊疾病为“纵膈脓肿”,并指示病情危重,需进行急诊手术治疗,迅速联系麻醉科。在麻醉科的大力配合下即刻开展了手术。由于患者纵膈脓肿合并右侧脓胸,单纯纵膈清创引流不能解决右侧胸腔感染,遂决定在胸腔镜下行右侧脓胸清除术+前纵膈切开引流术。术中可见右侧胸腔大量脓性坏死物,吸出胸腔内脓液约650ml,紧接着打开前纵膈,吸出脓性坏死物约200ml,后进行了彻底的冲洗,在紧锣密鼓的3小时手术后,患者平安返回病房,最终顺利出院。

▲CT引导下纵膈肿物定位以及穿刺后抽吸坏死物质

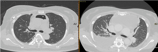
▲术后/术前胸部CT对比
在这场与时间赛跑的治疗中,患者重获健康,这离不开胸外科主任医师崔健、医师赵洋乐的及时发现和治疗,但更离不开麻醉科、急诊科、放射科的大力支持,多学科的鼎力支持也让胸外科有自信面对任何问题。
病例科普

1.什么叫牙源性纵膈感染?
牙齿病变引起的牙龈、下颌软组织感染可以经过颈部疏松的组织间隙蔓延到胸部前、后纵隔,引起纵隔感染,所以叫“牙源性纵隔感染”。此类疾病常常具有明确的牙病史,发热史,且入院时常伴有颈部不适、胸闷气短等病史,严重的患者可出现血压不稳、感染性休克等重症表现。
2.牙源性纵膈感染为何如此危险?
纵隔位于胸腔正中偏左、胸骨的后方,里面容纳一些至关重要的人体器官,如心脏和出入心的大血管。由于该病进展迅速,最短可以在颈部感染的12小时后就发生,病情危重,因此死亡率很高,最早的文献报道病死率可达55%。但近年来随着MDT(Multiple Disciplinary Team)团队的建立,诊疗技术不断提高,可以做到早期诊断、早期治疗,因此其病死率有大幅下降。最近的资料表明牙源性纵膈感染的病死率可以降到10%以下。
3.牙源性纵膈感染如何治疗?
纵隔感染的救治关键是把握好治疗时机,一旦诊断明确,应尽早行外科处理。治疗原则为彻底去除病因,尽早行脓肿切开引流,有效控制感染。手术治疗的目的是彻底排脓减张、建立通畅引流放置冲洗引流,以便于术后冲洗换药。可根据患者感染的部位及对感染发展的预判情况选择合适的手术入路。此外,尚需早期、足量应用广谱抗生素,同时对伴发的全身系统性疾病加以关注和治疗,并给以足够的全身营养支持。
温馨提示

由于牙源性纵膈感染进展迅速和病死率高的特点,一经确诊,就必须争分夺秒展开抢救。与其他的牙源性感染不同,胸外科医生是救火队的主力队员,但还需口腔科、急诊科、感染性疾病科、麻醉科等多学科的共同参与。清华大学附属垂杨柳医院各临床科室均具有丰富的临床经验与技术,可以为每一个患者的健康护航,让每个就诊患者均能获得综合、全面、及时、个性化的诊治方案。医院胸外科全体医护人员将以饱满的热情,精湛的技术,舒适的环境为患者的健康保驾护航!
参考文献:
[1]GUAN X, LIANG X, LIANG X, et al. A new classification of descending necrotizing mediastinitis and surgical strategies[J]. Ann Transl Med, 2021, 9(4): 356.
[2] KOCHER G J, HOKSCH B, CAVERSACCIO M, et al. Diffuse descending necrotizing mediastinitis: Surgical therapy and outcome in a single- centre series[J]. Eur J Cardiothorac Surg, 2012, 42(4): e66-e72..
[3]张凯, 郭威孝, 张浚睿, 等. 口腔颌面部间隙感染的管理———(二)手术治疗经验[ J]. 实用口腔医学杂志, 2018, 34(2): 285-288.

注:以上专家出诊时间仅作参考,实际以当日出诊情况为准。
本文仅限于公益科普及学术交流,如有不适请及时就医。文中自测内容不作为医学诊断依据。文中部分图片及资料来源于网络,侵删。








京公网安备11010502033717号