科普文章
【垂医病例科普】神经外科:警惕!青年人也会中招的高血压脑出血
垂医病例
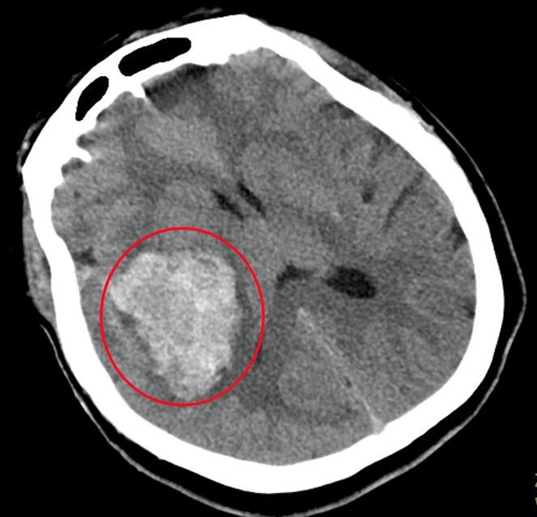
近日,北京市垂杨柳医院急诊抢救室收治了一位被“120”送来的女性患者,患者年仅31岁,突发意识不清伴呕吐胃内容物,有小便失禁。入院时已是深夜,患者深昏迷,双侧瞳孔直径3mm,对光反射消失,血压268/145mmHg,行头部CT提示右侧基底节区脑出血,出血量约64ml,右侧侧脑室明显受压,中线结构移位。患者病情十分危急,急诊科立即联系医院神经外科前来会诊。神经外科医师王绍珍第一时间前往急诊进行会诊。王绍珍详细评估患者病情后,认为患者病情十分危重,遂立即向神经外科主任张锟进行汇报。张锟在得知情况后,也在深夜赶来医院进行会诊,并快速制定了手术方案,积极进行治疗。

▲红圈处为颅内出血区域
患者从事导游工作,来北京时间不长,此次突发急症时,家人并不在身边。为抢救患者生命,医院开辟“绿色通道”,张锟、王绍珍为患者急行“显微镜下开颅血肿清除术”,全力救治患者。
术中,张锟、王绍珍沉着应对患者脑出血病情,仔细清理颅内出血,并对出血点进行止血。术后患者被收入ICU病房接受术后维护治疗,一周后患者神志恢复良好,转入神经外科病房。现已平安出院,并转入康复医院继续进行康复治疗。
神经外科 | 科普小课堂
1、什么是高血压脑出血?
高血压脑出血(俗称中风、脑溢血)作为我国居民主要致死、致残的主要疾病之一,为最常见脑出血类型,出血部位主要位于基底节区,尤以豆状核区最多见,常以突发头痛头晕、恶心呕吐、肢体瘫痪、言语不利、意识不清为首发表现。普通大众常常认为其是老年病,然而近年来脑出血住院患者逐年增加,发病人群逐渐年轻化,据统计青年患者占其中20-30%。不同于老年患者,青年人脑组织相对饱满,颅腔内的空间容积代偿能力较小,出血后脑血肿对脑组织压迫更为严重,起病急、病情进展迅速,更易造成脑疝危及生命。
2、青年高血压脑出血患者特点:
1.生活压力大、关注度不足
由于青年人具有较大的生活压力,常有熬夜工作,睡眠不足,情绪激动、心态把握不稳等特点,自身血压波动大。高强度工作使得青年人对自己的健康关注度较低,对高血压病和脑出血的危害性了解不足,监测血压及正规治疗者偏少,也不注重控制血压,因而青年人群高血压脑出血的患病数逐年增加。

2.不良生活习惯
平时不注意饮食控制,吸烟酗酒,运动不足,通宵熬夜,常食用高油高盐高糖食物、碳酸饮料等,使得不少青年人合并糖尿病、高血脂,脂肪代谢障碍,促进脑小动脉玻璃样变性和脑动脉粥样斑块形成,成为脑出血的危险因素。

3.过度肥胖
肥胖不仅导致代谢、内分泌异常,同时使高血压、发生呼吸困难危险性比体重正常者高,而高血压、高脂血症又是导致动脉硬化的重要原因。并且有研究结果显示,青年高血压脑出血患者中BMI正常者的预后优于超重肥胖患者。

4.便秘
便秘也称马桶上的“杀手”。便秘人群排便时常需要屏气用力,使得全身肌肉紧张、血管收缩,导致血压骤升,同时因憋气用力使胸腔和腹腔的压力增大,心脑血管承压过重,造成颅内压力剧增,导致脑血管或外周血管破裂造成脑出血、心绞痛等心脑血管突发意外发生。

3、神外医生教您:如何正确预防脑出血
加强自身认知:加强对自身健康的认知,重视高血压的预防和治疗,积极控制高血压,给予正规降压药物治疗,积极治疗原发疾病。若部分患者无高血压家族史且血压明显增高,应积极查询原因,排除继发性高血压的可能性。
合并症及时干预:对于合并糖尿病、低密度脂蛋白增高血症、高同性半胱氨酸血症、高脂血症等患者应早期诊断、早期干预治疗。
改善生活习惯:保持乐观情绪,戒烟限酒,避免过度劳累熬夜。注意低盐低脂饮食,控制体重,少食动物内脏、脑,多食蔬菜、水果。食用富含膳食纤维食物、适量运动,改善便秘。
注意重视先兆:如无明显诱因的剧烈头痛头晕、黑蒙晕厥,突发的肢体麻木无力、言语交流困难需及时就医,进一步检查治疗。
考虑到青年高血压脑出血往往起病急、病情进展迅速,一旦出现突发头痛头晕、恶心呕吐、肢体瘫痪、言语不利、意识不清等症状,建议就近医院及时救治。
排除其他出血原因:导致青年脑出血的第二大原因为脑动静脉畸形。以及颅内动脉瘤、颅内海绵状血管瘤、烟雾病、颅内静脉窦血栓、颅内肿瘤卒中等其他疾病可能。


注:以上专家出诊时间仅作参考,实际以当日出诊情况为准。
本文仅限于公益科普及学术交流,如有不适请及时就医。文中自测内容不作为医学诊断依据。文中部分图片及资料来源于网络,侵删。








京公网安备11010502033717号