科学研究
【杨柳学术】急诊医学科团队在《World Journal of Emergency Medicine 》发表病例报道。
近日,清华大学附属垂杨柳医院急诊医学科团队在著名SCI期刊《World Journal of Emergency Medicine 》(ISSN: 1920-8642,CN 33-1408/R)发表题为“Eosinophilia and clonorchiasis presenting as fever of unknown origin in adult patients”的病例报道(DOI: 10.5847/wjem.j.1920-8642.2024.069)。主治医师钟洁为第一作者,顾伟主任为通讯作者。该病例报道由北京市临床重点专科培育项目(2023)资助。

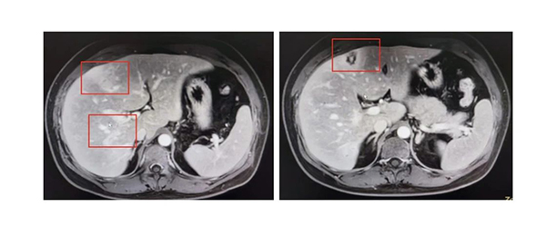
本病例于2023年8月由急诊内科接诊,38岁男性,主因“间断反复发热10余天,突发腹痛1小时”来诊,既往体健。近日因反复发热,就诊于多家医院,根据实验室检验及影像学检查结果,初步诊断为“肝脓肿”,经过积极的抗感染治疗10天,患者仍间断发热,右上腹疼痛、乏力、食欲减退等症状加重,复查CT见肝内低回声区较前明显增多,且伴嗜酸性粒细胞异常升高(正常嗜酸性粒细胞百分比为0.4%-8%,患者最高达47.7%,并且对比之前血常规结果,有进行性升高趋势),这一结果引起急诊医生的高度警惕。不明原因发热伴嗜酸性粒细胞升高,在排除肿瘤、血液系统、自身免疫等相关可能疾病后,高度怀疑是否存在寄生虫感染,再追问病史,该患发病前1月余有进食生鱼片史。由此,外院送检寄生虫相关检查,结果回报:肝吸虫IgG抗体阳性,粪便液基寄生虫检测可见肝吸虫虫卵。最终诊断:肝吸虫病。患者经积极正规的3个疗程治疗,最终治愈。值得庆幸的是,与患者同时食用生鱼片的家人在无症状的情况下进行寄生虫抗体、粪便及腹部增强核磁等相关检查,均确诊“肝吸虫病”,家属得到早期有效治疗,避免不良预后的发生。

肝吸虫病主要是由宿主生食淡水鱼虾感染,导致华支睾吸虫寄生于宿主胆道系统引起的疾病,是中国重要的食源性寄生虫病。全球主要流行地区为中国、越南和韩国,中国肝吸虫病呈现明显地域性分布,主要集中在广东、广西、黑龙江和吉林(省、自治区),在北方大城市,特别是首都北京十分罕见。但随着旅游业、餐饮业的发展,肝吸虫病的流行病学有以下特点:(1)农村地区向城市地区蔓延;(2)肝吸虫病不限于区域性高发,有各地散发趋势,包括人口流动性较大的一线城市,如北京、上海等地。肝吸虫病的临床特征为早期感染大多数无症状或仅有轻微腹痛症状,严重者或后期经数十年可发展为肝硬化、胆管癌等。因早期缺乏典型临床表现,容易漏诊、误诊导致不良预后。

总结本病例特点:初步诊断为肝脓肿,经抗感染治疗无效,间断发热伴嗜酸性粒细胞进行性升高,最终确诊为肝吸虫病。本病例报道提示临床医生,在接诊不明原因发热伴嗜酸性粒细胞增多患者时,即使处于非寄生虫高发区,也应考虑存在寄生虫感染的可能性,仔细了解和询问患者生活史以及饮食史,完善寄生虫相关检查。








京公网安备11010502033717号