其他疾病专题
【杨柳服务】阑尾炎不开刀了?内镜新技术:灌洗取石,微创保阑尾!
曾几何时,“阑尾炎”三个字几乎等同于“开刀手术”。但今天,医学进步带来了令人振奋的新选择——内镜下微创治疗,让部分阑尾炎患者告别手术刀,通过自然腔道(肠道)即可解除病痛!这主要归功于两项关键技术:内镜下阑尾灌洗术和内镜下阑尾取粪石术,它们共同构成了“内镜逆行性阑尾炎治疗术” (ERAT) 的核心。
告别一刀切:内镜如何“拯救”发炎的阑尾?
想象一下,医生将一根柔软、纤细、前端带有高清摄像头和治疗通道的内镜(类似于做胃镜的管子),轻柔地送达肠道末端——阑尾开口所在的盲肠区域。这就是ERAT的开始。
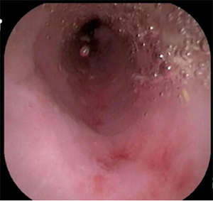
1. 精准定位与造影:
* 内镜抵达盲肠后,医生会仔细寻找阑尾的开口。
* 找到开口后,将一根更细的阑尾子镜通过结肠镜的活检孔道插入阑尾腔内。
* 阑尾子镜清晰显示阑尾内部结构、炎症程度以及是否存在罪魁祸首——粪石。

2. 核心治疗——灌洗与取石:
* 内镜下阑尾灌洗术:确认粪石阻塞是主因后,医生通过导管向阑尾腔内注入生理盐水或其他冲洗液。强大的水流冲击力旨在:冲走脓液和炎性渗出物,以迅速减轻腔内压力和炎症。松动并冲出阻塞的粪石,以解除阑尾腔的梗阻,恢复其通畅性,这是炎症消退的关键。
* 内镜下阑尾取粪石术:如果灌洗无法冲出较大或嵌顿牢固的粪石,医生会使用内镜器械(如取石网篮、取石球囊),直接伸入阑尾腔内,精准抓取或套取粪石,从阑尾管腔取出,彻底解除梗阻。

3. 引流:
* 对于脓液较多的严重病例,医生可能放置一根细小的塑料支架(引流管)在阑尾腔内,一端留在肠腔,持续引流几天,帮助炎症更快消退。

微创保阑尾——ERAT的优势
* 真正的无疤微创:经自然腔道操作,体表无任何切口,避免手术创伤、术后疼痛和疤痕烦恼。
* 保留阑尾器官:越来越多的研究表明阑尾并非无用,它是肠道有益菌的“避难所”,可能参与免疫调节。ERAT保留了阑尾的潜在功能。
* 恢复神速:患者通常术后当天或次日即可进食、下床活动,住院时间大大缩短(通常仅需1-3天),能更快回归正常生活和工作。
* 并发症风险相对较低:避免了手术相关的切口感染、肠粘连、腹腔感染等风险。主要潜在风险是操作相关的肠穿孔(发生率很低)及治疗失败需转手术。
谁适合?并非万能钥匙,关键在精准选择
ERAT并非适用于所有阑尾炎患者。它“最适合”的是:
* 急性单纯性阑尾炎:炎症局限于阑尾本身,未发生穿孔、坏疽或形成明显脓肿。
* 粪石性阑尾炎:明确由粪石梗阻引起,是ERAT治疗成功率较高的类型。
* 部分不愿或不宜手术的患者:如高龄、合并严重基础疾病、有腹部手术史粘连严重者等。
以下情况则不适合ERAT,仍需手术:
* 复杂性阑尾炎(已穿孔、坏疽、形成弥漫性腹膜炎或大脓肿)。
* 慢性阑尾炎反复急性发作。
* 阑尾肿瘤。
* 内镜无法找到阑尾开口或成功插管。
未来与选择:多一种可能,多一分希望
ERAT作为一项新兴技术,在国内外(尤其是日本、中国等)已取得显著成果,大量患者成功获益。
重要提示
* 阑尾炎症状(转移性右下腹痛、恶心、呕吐、发热等)出现,务必及时就医!
* 确诊阑尾炎后,治疗方式的选择(ERAT还是手术)需由专业医生根据病情(影像学检查结果如CT、超声至关重要)、医院技术条件、患者意愿等综合评估决定。
* ERAT技术要求高,需由经验丰富的内镜医师操作。
结语
内镜下阑尾灌洗和取粪石术(ERAT)的问世,打破了阑尾炎“一刀切”的传统格局。它为无数单纯性阑尾炎患者,尤其是那些渴望保留器官、追求快速康复的人,提供了一种安全有效的微创治疗新选择。医学的进步,正不断赋予我们身体器官“第二次机会”,让治疗更精准、更人性化。当右下腹的警报再次响起,请记得,除了手术刀,还有内镜这条微创之路可供选择!
文章仅用于公益科普及学术交流,如有不适请及时就医。部分资料、图片来源于网络,侵删。
- 标签:








京公网安备11010502033717号