-
【MDS世界警觉日】血液科(肿瘤内科):…
2024-10-25
-
【垂医科普】针灸科:霜降养生
2024-10-22
-
【垂医科普】口腔科:寒冬来袭,你的口腔…
2024-10-22
-
【垂医科普】泌尿外科:笑尿了?揭秘压力…
2024-10-22
-
【垂医病例科普】胸外科:这个纵隔占位不…
2024-10-21
-
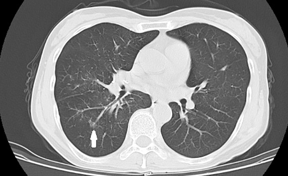
【垂医病例科普】胸外科:肺部磨玻璃结节…
2024-10-21
-
【垂医病例科普】胸外科:单孔胸腔镜手术…
2024-10-21
-
【院庆51周年】内分泌科:糖友们,体重管…
2024-10-11
-
【院庆51周年】普外科:警惕心脏不适,可…
2024-10-11








京公网安备11010502033717号