科普文章
【垂医科普】消化内科:阑尾炎不必切阑尾 | 内镜下阑尾治疗术(ERAT)
Q:为什么会得阑尾炎?
A:导致阑尾炎的主要病因是阑尾梗阻,阑尾炎的典型临床表现:转移性右下腹痛,恶心、呕吐、腹泻、乏力、发热等。查体可有右下腹固定压痛,影像学可表现为阑尾增粗,管壁增厚,实验室检查提示白细胞、C反应蛋白明显升高。
Q:阑尾有哪些作用?
A:阑尾作为内脏的一员,具有丰富的淋巴组织,参与机体的免疫功能。阑尾的存在能提高人体维持肠道菌群平衡的能力,可提供肠道抵抗感染的机械屏障。阑尾可分泌多种物质和各种消化酶、促进肠蠕动的激素和与生长相关的激素。阑尾切除后,大肠癌的患病机也会增加。
Q:什么是ERAT?
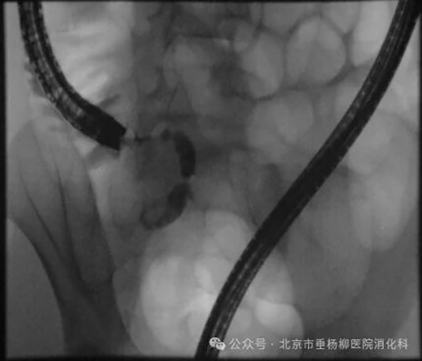
A:ERAT是一种简便、微创的内镜下手术方式:通过内镜经肛门逆行至回盲部,探查到阑尾的开口,能够直视观察内镜下阑尾情况以及造影来明确诊断,并应用内镜相关辅助工具如导丝、导管、取石球囊、塑料支架等对确诊的急性阑尾炎行插管、冲洗、取石、支架引流等治疗,解除阑尾腔的梗阻,快速降低阑尾腔内压力、消退炎症,在完整保留阑尾及其功能的基础上,通过解决阑尾炎的病因来达到治疗阑尾炎的目的。手术有效、安全、微创,术后症状缓解迅速,创伤微小,恢复快,基本不影响正常生活及工作。
Q:所有阑尾炎都能做ERAT吗?
A:急性单纯性阑尾炎是ERAT最主要的适应证,一般指无阑尾穿孔依据,影像学未提示阑尾肿瘤,且阑尾腔直径≤6mm。ERAT在一般情况下并不适用于复杂性阑尾炎(包括阑尾坏疽、穿孔、阑尾周围脓肿),但研究显示ERAT与腹腔镜下阑尾炎切除术对患者症状缓解无明显差异。
特殊人群:
妊娠早期阑尾炎患者使用ERAT与子母镜检查进行手术,可顺利足月分娩。儿童阑尾炎患者,ERAT是避免外科手术的较好选择。
ERAT步骤
01、经内镜阑尾腔插管,采用透明帽技术,使阑尾插管容易、安全。
02、阑尾腔减压:阑尾插管成功后,抽吸阑尾腔内的脓液,降低阑尾腔内的压力,防止阑尾腔压力升高导致的阑尾缺血、坏死。

03、内镜下逆行阑尾造影:阑尾腔减压后,经导管注入适量造影剂,显示阑尾腔内的情况, 观察阑尾管腔形态、内径等。

04、对于管腔内存在粪石梗阻的患者,可同时给予内镜下取石治疗。
本文仅限于公益科普及学术交流,如有不适请及时就医,文中部分资料来源于网络,侵删。
- 标签:
- 消化内科








京公网安备11010502033717号