科普文章
【垂医病例科普】胸外科:不容忽视的吞咽困难
病例介绍

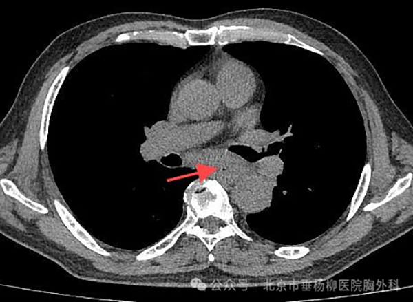
图1
患者,老年男性,主因“进行性吞咽困难3月”入院,入院后胸部CT可见食管中下段管壁增厚,官腔狭窄(图1)。完善胃镜检查提示食管距门齿约23-30cm占位性病变(图2),胃镜下给予留置经鼻空肠营养管置入,给予肠内营养灌注,活检病理提示食管高-中分化鳞状细胞癌,给予其化疗联合免疫治疗一周期后出院,出院后鼻饲饮食。

图2
食管癌是消化系统最具侵袭性的恶性肿瘤之一,有较高的发病率和死亡率,而中国的食管癌疾病负担较重,其每年新发和死亡病例数均占全世界的半数以上。食管癌治疗疗效和预后均较差,非常重要的一个原因是起病隐匿,疾病早期往往无特异性症状,确诊时多数患者已进入局部区域进展阶段或远处转移阶段。
临床表现
临床表现:1、早期食管癌症状不明显,吞咽粗硬食物可偶有不适,如胸骨后烧灼样、针刺样或牵拉摩擦样疼痛;食物通过缓慢,并有停滞感或异物感,哽噎停滞感通过吞咽水后缓解消失。2、中晚期食管癌典型症状为进行性吞咽困难,先是难咽干的食物,继而流质,最后水和唾液不能下咽。病人逐渐消瘦、脱水、无力。持续胸痛或背痛表示癌已侵犯食管外组织。
诊断
胃镜检查+活检可确诊。
治疗
早期食管癌及癌前病变采用内镜下粘膜切除术。中晚期食管癌:手术是食管癌的首选方法,对于肿瘤侵犯黏膜下层者,可直接手术切除;对于可切除局部晚期食管癌患者,推荐新辅助化疗、放疗联合免疫治疗后再行手术治疗;对于不可切除晚期食管癌患者进行化疗、放疗、免疫等多学科综合治疗。
食管癌作为一种发病率较高的恶性肿瘤,早诊断、早治疗对于提高患者存活率至关重要。当身体出现以上不适征兆时,千万别拖延,应尽早检查。
参考文献:
1.王澜. 免疫治疗时代背景下放疗在晚期食管癌中的应用进展[J]. 肿瘤防治研究, 2024,51(6):397-401.
2.Sung H, Ferlay J, Siegel RL, et al. Global Cancer Statistics 2020: GLOBOCAN Estimates of Incidence and Mortality Worldwide for 36 Cancers in 185 Countries[J]. CA Cancer J Clin, 2021, 71(3): 209-249. doi: 10.3322/caac.21660
3.第8版外科学(人民卫生出版社).
4.CSCO食管癌指南(2024).
注:本文仅限于公益科普及学术交流,如有不适请及时就医。
- 标签:
- 胸外科








京公网安备11010502033717号