-
【垂医科普】针灸科:立冬养生
2024-11-07
-
【垂医科普】消化内科:不明原因胸痛、吞…
2024-11-05
-
【垂医科普】肾内科:秋干气燥,加湿有讲…
2024-11-05
-
【垂医科普】口腔科:牙齿冠修复 | 构筑…
2024-11-05
-
【垂医呼吸】精准定位,让肺小结节无处遁…
2024-11-05
-
【垂医病例科普】胸外科:硬质支气管镜让…
2024-11-04
-
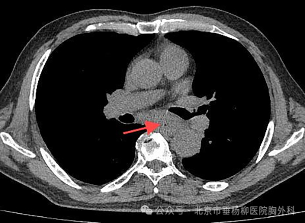
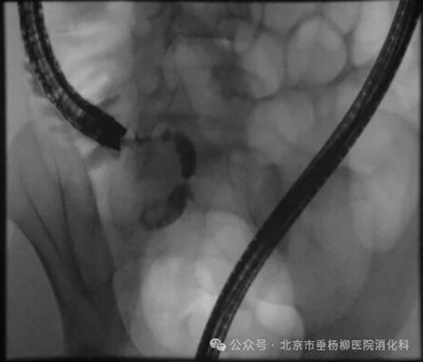
【垂医病例科普】胸外科:不容忽视的吞咽…
2024-11-04
-
【垂医科普】消化内科:阑尾炎不必切阑尾…
2024-11-04
-
【垂医科普】内分泌科:容易被忽视的内分…
2024-11-04








京公网安备11010502033717号